Обеспечивает стабильно отличные результаты, безопасность и комфорт при лечении, используя революционную технологию пассивного самолигирования с уменьшенным пазом. Уникальный производственный процесс компании World Class Technology (на рынке с 1963 года) позволяет достигать самых низких допусков в индустрии +/- .001" против +/- .003", что в три раза точнее, чем у большинства систем. Добавляем к этому уменьшенную глубину паза .022"х. 026" и у вас есть инструмент, который вы так давно ждали. Завершать случаи с полностью контролируемым и лучшим результатом стало гораздо легче, а улыбки пациентов стали получаться быстрее и еще лучше!
◦ Встроенные крючки
На клыках и премолярах без дополнительной оплаты.
◦ Закругленные, мягкие контуры брекета
Для улучшенного комфорта пациента.
◦ Уникальный дизайн крышки H4™
Разработана для улучшенной долгосрочной стабильности.
Запатентованная скользящая крышка создает 4 стенки для улучшенного 4-точечного контроля торка и ротаций.
◦ .026“ Высокоточная глубина паза.
Уменьшенная глубина паза обеспечивает раннее создание пары сил между дугой и брекетом, обеспечивая раннее выравнивание, улучшенный контроль торка, контроль ротаций.
◦ Большое подкрыльное пространство
Идеально для установки эластических цепочек, лигатур и ранних эластиков.
◦ Основание брекета Base Lock Plus™
Высокоточное литье единым изделием брекета и его основания обеспечивает оптимальное расположение брекета по анатомии зуба и силу фиксации.
◦ Специальные бортики
Обеспечивают выход излишков адгезива только с 2-х сторон.
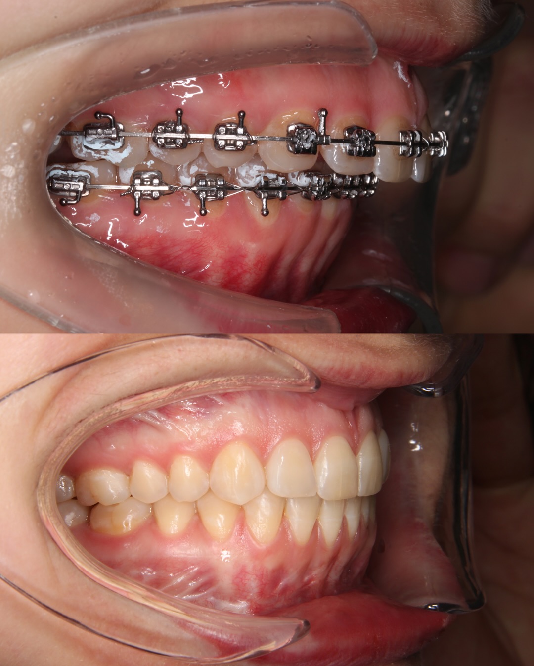
Дистальный прикус: До/После
Ваша любимая рубрика, где за несколькими фото скрывается многомесячный труд пациента и целой команды специалистов.
Дистальный прикус: До/После
У пациентки был диагностирован дистальный прикус скелетного типа, нижняя челюсть значительно отставала по отношению к верхней.
Причины дистального прикуса могут быть разными: наследственные особенности, замедленное развитие нижней челюсти, детские привычки вроде сосания пальца или пустышки, а также проблемы с дыханием в детстве.
После этапа ортодонтической подготовки совместно с @velieva_ortho, в нашей клинике была проведена двухчелюстная ортогнатическая операция.В результате удалось восстановить гармоничные пропорции лица, улучшить профиль и создать правильное соотношение челюстей.
Пациентка обратилась с запросом на эстетическое изменения улыбки — не устраивает размеры латеральных резцов.
Такие запросы встречаются часто, и пациентам бывает сложно решиться на временную реставрацию, но в вопросе эстетики и визуального эффекта улыбки — это действительно важно.
WOW-эффект вашей улыбки складывается из микро деталей.
Пациент обратился с жалобами на неровные зубы и дискомфорт в левом суставе: щелчок и периодическая блокировка.
⠀
✅ Первым этапом мы нормализовали ширину верхней челюсти с помощью аппарата Хааса — это дало правильное пространство для зубов.
✅ Затем провели последовательную дистализацию с использованием пружин на частичной брекет-системе.
✅ Следующим шагом стало полное ортодонтическое лечение брекетами.
⠀
⏳ Уже через год мы получили гармоничный прикус, ровные зубы и стабильную работу сустава.
Брекеты — это не только эстетика, но и здоровье, функция и комфорт каждый день ✨
Сложный случай: глубина прикуса, ретрузия резцов и решение без удаления!
Коллеги, делюсь непростым, но вдохновляющим кейсом. Пациент пришёл с целью сохранить центральные резцы на нижней челюсти, хотя ему уже предлагали удалить все четыре и перейти на тотальное протезирование. Моя задача — сохранить максимум естественных зубов.
Что на старте:
— Глубокий травмирующий прикус
— Ретрузия резцов (до 27° на нижней челюсти!)
— Отсутствие боковой поддержки
— Снижение высоты
— Вертикальное перекрытие более 18 мм
— Адентия + скелетный II класс
— Изменённая форма центральных резцов после реставраций
При этом пациент НЕ имел жалоб со стороны ВНЧС — это дало нам пространство для действий.
План лечения:
— Сначала увеличили высоту с помощью временных коронок на имплантах
— Постепенно работали с торком и раскрытием фронта
— Применяли пружины, мини-винты, цепочки
— Снимали ангуляцию в боковых отделах
— Сохраняли зубы, избегая рецессий
Один из поворотных моментов: отказ от немедленной установки винтов на верхнюю челюсть. Сейчас, анализируя кейс, понимаю — это замедлило процесс. Сегодня начала бы именно с них.
А ещё:
— Использовала изгибы на Niti-дуге ещё на раннем этапе
— Поднимала клык и работала на раскрытие даже на легких дугах
— Удерживала силу, чтобы ускорить торк
— Планировала хирургическое закрытие остаточных рецессий
Сейчас: нормализован торк, поднята высота, активное перемещение — а главное, резцы сохранены.
Мы получили отличный результат, и пациент доволен.
Спасибо лично Кириллу и всему бухгалтерскому отделу! Если бы не вы, десятки пациентов в Израиле остались бы без идеальных улыбок, ведь ничем, кроме продукции Ортолайт я пользоваться не согласна)
Навсегда ваша, хотите вы того или нет
У меня ассистент не проследил за записью и только что узнали, что нет брекетов для фиксации. Вы волшебники меня спасли и ко мне уже отправили курьера с любимыми H4 и все это легко, без тяжелых вздохов и без дополнительной оплаты за курьера. Это отличная работа!!!
Яворовская Татьяна
Сегодня расскажу о том, как прошла работа с #брекетыh4 фирмы #Orthoclassic. Я начала с ними работать сразу, как только они и появились в России. Уже несколько пациентов на Н4 проходят стадию нивелировки, а сейчас напишу о том, что мне больше всего понравилось:
1. Металл, из которого выполнены брекеты, внушает доверие, прочный.
2. Крышка надёжная, «дверь с петель вряд ли слетит». 3. А мое самое любимое в этих брекетах - это основание, композит по нему распределяется как-то небывало и невиданно идеально, такое ощущение, что основание само притягивает клей. Даже сбегала к терапевту в кабинет, любителю работать под микроскопом, чтобы увидеть основание с увеличением. (см.2 фото) Отпескоструено, пункты ретенции - всё как заявлено производителем на картинке! Даже рондофлекс отдыхает.
4. Позиционирование на зубе и вопрос с излишками тоже небывало идеальный.
Итак, теперь чего я жду с нетерпением - это этапа финиша! И я надеюсь, итоги работы оправдают мои ожидания и тогда уже 100% это будут мои фавориты.
Всем хорошего дня и улыбайтесь чаще!
Мои впечатления о брекетах #H4
- Понравилось наличие крючков с закругленными кончиками, особенно на молярах (должно быть комфортно пациенту)
- Брекеты небольшого размера, при этом выглядят очень прочными, надежными монолитиками
- Механизм открывания крышек напоминает всем известные брекеты 3мх, инструмент их можно даже использовать, у кого еще сохранился
- Очень анатомичное основание, их очень легко позиционировать, практически сами встают туда куда надо, что ускоряет работу
- Немного непривычно при позиционировании, что торк в основании, по другому прижимать к зубу приходиться, но это дело привычки.
- Крышки открываются от десны, что снижает риск ее травмирования
Для покупки товара в интернет-магазине выберите товар и добавьте его в корзину. Далее перейдите в Корзину и нажмите на «Оформить заказ». После отправки заказа менеджер Вам перезвонит (напишет WhatsApp) и согласует заказ. По результатам вам придет подтверждение.
- Оплата через терминал. Вы приходите в офис компании и оплачиваете заказ банковской картой или наличными. Чек выдаем.
- Оплата по ссылке. Вы оплачиваете заказ по ссылке, которую получите от менеджера. Это самый быстрый и удобный метод. Деньги приходят сразу.
- Оплата по счету. Менеджер быстро высылает счет на оплату. Вы оплачиваете заказ переводом денежных средств на расчетный счет компании.
- Оплата на сайте через платежные системы*. На данный момент мы не принимаем оплату на сайте. Но постараемся вернуть этот метод в ближайшем будущем.
- В корзине выводится стоимость доставки. В некоторых случаях мы не можем сосчитать стоимость доставки на сайте. Отправьте заказ и дождитесь подробностей от менеджеров компании.
- Самовывоз из офисов в городах присутствия. Бесплатно заберите заказ в офисе компании. Смотрите адреса тут.
- Есть курьерская доставка до клиники или на адрес. Для каждого региона и города условия доставки и бесплатной доставки отличаются. Оформите заказ и менеджер сделает расчет доставки при согласовании заказа.
Правильная установка брекетов играет важную роль не только для функционального, но и для эстетического успеха лечения. Целью данной статьи является представление новой таблицы для содействия в вертикальной установке брекетов на основании эффекта, оказываемого на дугу улыбки.
