Эксклюзивный дистрибьютор OC Orthodontics, Task, Reliance продукция для ортодонтов
Каталог
По всему сайту
По каталогу
Продукция
Акции и скидки
Брекеты
Pitts21
H4
HYPE
Biomim
Clear21
Pitts21 PRO
Щечные трубки
Двойные щечные трубки
Конвертируемые щечные трубки
Неконвертируемые щечные трубки
Паз .018
Паз .022
Pitts 21
Дуги
Международная форма
Широкая H4 Pitts
Прутки для многопетлевой техники
Стандартная H4 Pitts
Стальные 8-ми жильные
Универсальная H4 Pitts
Широкая H4 Pitts (+)
Эластики
Безлатексные лигатуры
Безлатексные эластические тяги
Латексные эластические тяги
Эластические цепочки
Эластические тяги (латекс цветные)
Аксессуары
Кнопки
Лигатуры
Пружины
Типодонты
Крючки
Стопоры
Адгезивы Reliance
Гигиена
Инструменты
TASK
Дистальные кусачки
Инструмент для работы с ортодонтическими кольцами
Кусачки для дуг
Лигатурные кусачки
Пинцеты
Подставка для инструментов
Чехлы для щипцов
Щипцы Вейнгарда
Щипцы для зажимания стопоров
Щипцы для нанесения торка на дугу
Щипцы для работы с конвертируемыми трубками
Щипцы для работы с лигатурами и эластическими элементами
Щипцы для работы с элайнерами
Щипцы для снятия брекетов
Щипцы для формирования Омега петель
Щипцы и туррет для многопетлевой техники
Щицы для работы с дугами (изгибы/изменение формы)
Щицы для снятия адгезива
Ключи и щипцы для открывания брекетов
Позиционеры
Мини Молды
Ретейнеры
Ретракторы
Зеркала и контраcторы
Корректоры
Промо и мерч
Полиграфия
Сувениры
Текстиль
О компании
О компании
Новости
История
Бренды
Отзывы
Документы
Реквизиты
Вакансии
Фирменный стиль
Статьи
Ortho job
Обучение
Семинары
Вебинары
🔝 Клуб ТОП
Наши лекторы
Кинотеатр «Ortho Cinema»
Договор оферты
Скидки по мероприятиям
Видео-рекомендации
Акции
Вопрос ответ
Доставка и оплата
Контакты
+7 (963) 633-71-57
+7 (963) 633-71-57 Офис в Москве, Пн - Пт: 9:30 - 18:00
+7 (963) 633-71-53 Семинары, Пн - Пт: 9:30 - 18:00
Заказать звонок
Задать вопрос
Войти
  • Корзина0
  • Избранные товары0
Ваш город
Москва
zakaz-msk@ortholight.ru
г. Москва, Головинское ш., д.5, корп. 1, помещение 73, оф. 9016 БЦ «Водный»
  • Вконтакте
  • Telegram
Ваш город
Москва
Каталог
По всему сайту
По каталогу
+7 (963) 633-71-57
+7 (963) 633-71-57 Офис в Москве, Пн - Пт: 9:30 - 18:00
+7 (963) 633-71-53 Семинары, Пн - Пт: 9:30 - 18:00
Заказать звонок
Войти
Избранные товары 0
Корзина 0
Продукция
Акции и скидки
Брекеты
Щечные трубки
Дуги
Эластики
Аксессуары
Адгезивы Reliance
Гигиена
Инструменты
Мини Молды
Ретейнеры
Ретракторы
Зеркала и контраcторы
Корректоры
Промо и мерч
  • Баннер семинаров (боковой)
  • Баннер семинаров (боковой)
    • Pitts21
      Pitts21
    • H4
      H4
    • HYPE
      HYPE
    • Biomim
      Biomim
    • Clear21
      Clear21
    • Pitts21 PRO
      Pitts21 PRO
  • Баннер семинаров (боковой)
    • Двойные щечные трубки
      Двойные щечные трубки
    • Конвертируемые щечные трубки
      Конвертируемые щечные трубки
    • Неконвертируемые щечные трубки
      Неконвертируемые щечные трубки
    • Паз .018
      Паз .018
    • Паз .022
      Паз .022
    • Pitts 21
      Pitts 21
  • Баннер семинаров (боковой)
    • Международная форма
      Международная форма
    • Широкая H4 Pitts
      Широкая H4 Pitts
    • Прутки для многопетлевой техники
      Прутки для многопетлевой техники
    • Стандартная H4 Pitts
      Стандартная H4 Pitts
    • Стальные 8-ми жильные
      Стальные 8-ми жильные
    • Универсальная H4 Pitts
      Универсальная H4 Pitts
    • Широкая H4 Pitts (+)
      Широкая H4 Pitts (+)
  • Баннер семинаров (боковой)
    • Безлатексные лигатуры
      Безлатексные лигатуры
    • Безлатексные эластические тяги
      Безлатексные эластические тяги
    • Латексные эластические тяги
      Латексные эластические тяги
    • Эластические цепочки
      Эластические цепочки
    • Эластические тяги (латекс цветные)
      Эластические тяги (латекс цветные)
  • Баннер семинаров (боковой)
    • Кнопки
      Кнопки
    • Лигатуры
      Лигатуры
    • Пружины
      Пружины
    • Типодонты
      Типодонты
    • Крючки
      Крючки
    • Стопоры
      Стопоры
  • Баннер семинаров (боковой)
  • Баннер семинаров (боковой)
  • Баннер семинаров (боковой)
    • TASK
      TASK
    • Дистальные кусачки
      Дистальные кусачки
    • Инструмент для работы с ортодонтическими кольцами
      Инструмент для работы с ортодонтическими кольцами
    • Кусачки для дуг
      Кусачки для дуг
    • Лигатурные кусачки
      Лигатурные кусачки
    • Пинцеты
      Пинцеты
    • Подставка для инструментов
      Подставка для инструментов
    • Чехлы для щипцов
      Чехлы для щипцов
    • Щипцы Вейнгарда
      Щипцы Вейнгарда
    • Щипцы для зажимания стопоров
      Щипцы для зажимания стопоров
    • Щипцы для нанесения торка на дугу
      Щипцы для нанесения торка на дугу
    • Щипцы для работы с конвертируемыми трубками
      Щипцы для работы с конвертируемыми трубками
    • Щипцы для работы с лигатурами и эластическими элементами
      Щипцы для работы с лигатурами и эластическими элементами
    • Щипцы для работы с элайнерами
      Щипцы для работы с элайнерами
    • Щипцы для снятия брекетов
      Щипцы для снятия брекетов
    • Щипцы для формирования Омега петель
      Щипцы для формирования Омега петель
    • Щипцы и туррет для многопетлевой техники
      Щипцы и туррет для многопетлевой техники
    • Щицы для работы с дугами (изгибы/изменение формы)
      Щицы для работы с дугами (изгибы/изменение формы)
    • Щицы для снятия адгезива
      Щицы для снятия адгезива
    • Ключи и щипцы для открывания брекетов
    • Позиционеры
  • Баннер семинаров (боковой)
  • Баннер семинаров (боковой)
  • Баннер семинаров (боковой)
  • Баннер семинаров (боковой)
  • Баннер семинаров (боковой)
  • Баннер семинаров (боковой)
    • Полиграфия
    • Сувениры
    • Текстиль
О компании
  • О компании
  • Новости
  • История
  • Бренды
  • Отзывы
  • Документы
  • Реквизиты
  • Вакансии
  • Фирменный стиль
  • Статьи
  • Ortho job
Обучение
  • Семинары
  • Вебинары
  • 🔝 Клуб ТОП
  • Наши лекторы
  • Кинотеатр «Ortho Cinema»
  • Договор оферты
  • Скидки по мероприятиям
  • Видео-рекомендации
Акции
Вопрос ответ
Доставка и оплата
Контакты
+  ЕЩЕ
    Продукция
    Акции и скидки
    Брекеты
    Щечные трубки
    Дуги
    Эластики
    Аксессуары
    Адгезивы Reliance
    Гигиена
    Инструменты
    Мини Молды
    Ретейнеры
    Ретракторы
    Зеркала и контраcторы
    Корректоры
    Промо и мерч
    • Баннер семинаров (боковой)
    • Баннер семинаров (боковой)
      • Pitts21
        Pitts21
      • H4
        H4
      • HYPE
        HYPE
      • Biomim
        Biomim
      • Clear21
        Clear21
      • Pitts21 PRO
        Pitts21 PRO
    • Баннер семинаров (боковой)
      • Двойные щечные трубки
        Двойные щечные трубки
      • Конвертируемые щечные трубки
        Конвертируемые щечные трубки
      • Неконвертируемые щечные трубки
        Неконвертируемые щечные трубки
      • Паз .018
        Паз .018
      • Паз .022
        Паз .022
      • Pitts 21
        Pitts 21
    • Баннер семинаров (боковой)
      • Международная форма
        Международная форма
      • Широкая H4 Pitts
        Широкая H4 Pitts
      • Прутки для многопетлевой техники
        Прутки для многопетлевой техники
      • Стандартная H4 Pitts
        Стандартная H4 Pitts
      • Стальные 8-ми жильные
        Стальные 8-ми жильные
      • Универсальная H4 Pitts
        Универсальная H4 Pitts
      • Широкая H4 Pitts (+)
        Широкая H4 Pitts (+)
    • Баннер семинаров (боковой)
      • Безлатексные лигатуры
        Безлатексные лигатуры
      • Безлатексные эластические тяги
        Безлатексные эластические тяги
      • Латексные эластические тяги
        Латексные эластические тяги
      • Эластические цепочки
        Эластические цепочки
      • Эластические тяги (латекс цветные)
        Эластические тяги (латекс цветные)
    • Баннер семинаров (боковой)
      • Кнопки
        Кнопки
      • Лигатуры
        Лигатуры
      • Пружины
        Пружины
      • Типодонты
        Типодонты
      • Крючки
        Крючки
      • Стопоры
        Стопоры
    • Баннер семинаров (боковой)
    • Баннер семинаров (боковой)
    • Баннер семинаров (боковой)
      • TASK
        TASK
      • Дистальные кусачки
        Дистальные кусачки
      • Инструмент для работы с ортодонтическими кольцами
        Инструмент для работы с ортодонтическими кольцами
      • Кусачки для дуг
        Кусачки для дуг
      • Лигатурные кусачки
        Лигатурные кусачки
      • Пинцеты
        Пинцеты
      • Подставка для инструментов
        Подставка для инструментов
      • Чехлы для щипцов
        Чехлы для щипцов
      • Щипцы Вейнгарда
        Щипцы Вейнгарда
      • Щипцы для зажимания стопоров
        Щипцы для зажимания стопоров
      • Щипцы для нанесения торка на дугу
        Щипцы для нанесения торка на дугу
      • Щипцы для работы с конвертируемыми трубками
        Щипцы для работы с конвертируемыми трубками
      • Щипцы для работы с лигатурами и эластическими элементами
        Щипцы для работы с лигатурами и эластическими элементами
      • Щипцы для работы с элайнерами
        Щипцы для работы с элайнерами
      • Щипцы для снятия брекетов
        Щипцы для снятия брекетов
      • Щипцы для формирования Омега петель
        Щипцы для формирования Омега петель
      • Щипцы и туррет для многопетлевой техники
        Щипцы и туррет для многопетлевой техники
      • Щицы для работы с дугами (изгибы/изменение формы)
        Щицы для работы с дугами (изгибы/изменение формы)
      • Щицы для снятия адгезива
        Щицы для снятия адгезива
      • Ключи и щипцы для открывания брекетов
      • Позиционеры
    • Баннер семинаров (боковой)
    • Баннер семинаров (боковой)
    • Баннер семинаров (боковой)
    • Баннер семинаров (боковой)
    • Баннер семинаров (боковой)
    • Баннер семинаров (боковой)
      • Полиграфия
      • Сувениры
      • Текстиль
    О компании
    • О компании
    • Новости
    • История
    • Бренды
    • Отзывы
    • Документы
    • Реквизиты
    • Вакансии
    • Фирменный стиль
    • Статьи
    • Ortho job
    Обучение
    • Семинары
    • Вебинары
    • 🔝 Клуб ТОП
    • Наши лекторы
    • Кинотеатр «Ortho Cinema»
    • Договор оферты
    • Скидки по мероприятиям
    • Видео-рекомендации
    Акции
    Вопрос ответ
    Доставка и оплата
    Контакты
    +  ЕЩЕ
      Избранные товары 0 Корзина 0
      Избранные товары 0 Корзина 0
      Телефоны
      +7 (963) 633-71-57 Офис в Москве, Пн - Пт: 9:30 - 18:00
      +7 (963) 633-71-53 Семинары, Пн - Пт: 9:30 - 18:00
      Заказать звонок
      • Продукция
        • Назад
        • Продукция
        • Акции и скидки Акции и скидки
        • Брекеты Брекеты
          • Назад
          • Брекеты
          • Pitts21 Pitts21
          • H4 H4
          • HYPE HYPE
          • Biomim Biomim
          • Clear21 Clear21
          • Pitts21 PRO Pitts21 PRO
        • Щечные трубки Щечные трубки
          • Назад
          • Щечные трубки
          • Двойные щечные трубки Двойные щечные трубки
          • Конвертируемые щечные трубки Конвертируемые щечные трубки
          • Неконвертируемые щечные трубки Неконвертируемые щечные трубки
          • Паз .018 Паз .018
          • Паз .022 Паз .022
          • Pitts 21 Pitts 21
        • Дуги Дуги
          • Назад
          • Дуги
          • Международная форма Международная форма
          • Широкая H4 Pitts Широкая H4 Pitts
          • Прутки для многопетлевой техники Прутки для многопетлевой техники
          • Стандартная H4 Pitts Стандартная H4 Pitts
          • Стальные 8-ми жильные Стальные 8-ми жильные
          • Универсальная H4 Pitts Универсальная H4 Pitts
          • Широкая H4 Pitts (+) Широкая H4 Pitts (+)
        • Эластики Эластики
          • Назад
          • Эластики
          • Безлатексные лигатуры Безлатексные лигатуры
          • Безлатексные эластические тяги Безлатексные эластические тяги
          • Латексные эластические тяги Латексные эластические тяги
          • Эластические цепочки Эластические цепочки
          • Эластические тяги (латекс цветные) Эластические тяги (латекс цветные)
        • Аксессуары Аксессуары
          • Назад
          • Аксессуары
          • Кнопки Кнопки
          • Лигатуры Лигатуры
          • Пружины Пружины
          • Типодонты Типодонты
          • Крючки Крючки
          • Стопоры Стопоры
        • Адгезивы Reliance Адгезивы Reliance
        • Гигиена Гигиена
        • Инструменты Инструменты
          • Назад
          • Инструменты
          • TASK TASK
          • Дистальные кусачки Дистальные кусачки
          • Инструмент для работы с ортодонтическими кольцами Инструмент для работы с ортодонтическими кольцами
          • Кусачки для дуг Кусачки для дуг
          • Лигатурные кусачки Лигатурные кусачки
          • Пинцеты Пинцеты
          • Подставка для инструментов Подставка для инструментов
          • Чехлы для щипцов Чехлы для щипцов
          • Щипцы Вейнгарда Щипцы Вейнгарда
          • Щипцы для зажимания стопоров Щипцы для зажимания стопоров
          • Щипцы для нанесения торка на дугу Щипцы для нанесения торка на дугу
          • Щипцы для работы с конвертируемыми трубками Щипцы для работы с конвертируемыми трубками
          • Щипцы для работы с лигатурами и эластическими элементами Щипцы для работы с лигатурами и эластическими элементами
          • Щипцы для работы с элайнерами Щипцы для работы с элайнерами
          • Щипцы для снятия брекетов Щипцы для снятия брекетов
          • Щипцы для формирования Омега петель Щипцы для формирования Омега петель
          • Щипцы и туррет для многопетлевой техники Щипцы и туррет для многопетлевой техники
          • Щицы для работы с дугами (изгибы/изменение формы) Щицы для работы с дугами (изгибы/изменение формы)
          • Щицы для снятия адгезива Щицы для снятия адгезива
          • Ключи и щипцы для открывания брекетов
          • Позиционеры
        • Мини Молды Мини Молды
        • Ретейнеры Ретейнеры
        • Ретракторы Ретракторы
        • Зеркала и контраcторы Зеркала и контраcторы
        • Корректоры Корректоры
        • Промо и мерч Промо и мерч
          • Назад
          • Промо и мерч
          • Полиграфия
          • Сувениры
          • Текстиль
      • О компании
        • Назад
        • О компании
        • О компании
        • Новости
        • История
        • Бренды
        • Отзывы
        • Документы
        • Реквизиты
        • Вакансии
        • Фирменный стиль
        • Статьи
        • Ortho job
      • Обучение
        • Назад
        • Обучение
        • Семинары
        • Вебинары
        • 🔝 Клуб ТОП
        • Наши лекторы
        • Кинотеатр «Ortho Cinema»
        • Договор оферты
        • Скидки по мероприятиям
        • Видео-рекомендации
      • Акции
      • Вопрос ответ
      • Доставка и оплата
      • Контакты
      • Москва
        • Назад
      • Личный кабинет
      • Корзина0
      • Избранные товары0
      • +7 (963) 633-71-57Офис в Москве, Пн - Пт: 9:30 - 18:00
        • Назад
        • Телефоны
        • +7 (963) 633-71-57 Офис в Москве, Пн - Пт: 9:30 - 18:00
        • +7 (963) 633-71-53 Семинары, Пн - Пт: 9:30 - 18:00
        • Заказать звонок
      Контактная информация
      г. Москва, Головинское ш., д.5, корп. 1, помещение 73, оф. 9016 БЦ «Водный»
      zakaz-msk@ortholight.ru
      • Вконтакте
      • Telegram

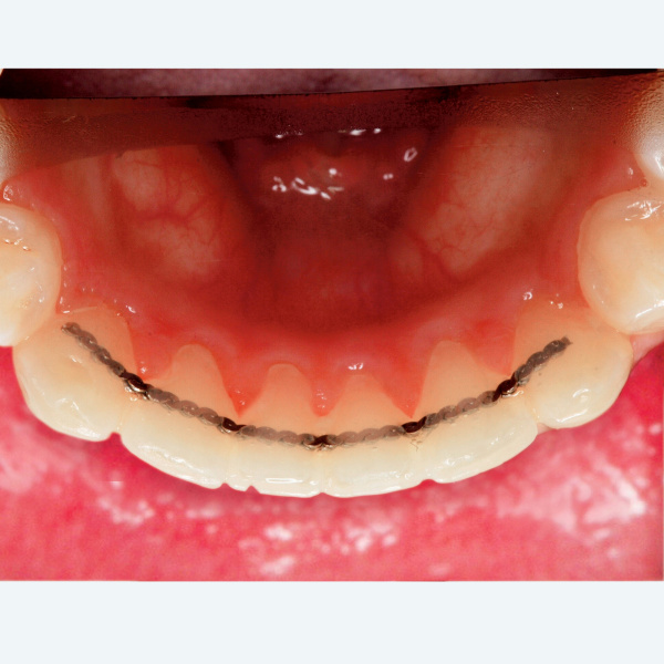
      Ретейнеры

      6
      Главная
      —
      Продукция
      —
      Ретейнеры
      Акции и скидкиБрекетыЩечные трубкиДугиЭластикиАксессуарыАдгезивы RelianceГигиенаИнструментыМини МолдыРетракторыЗеркала и контраcторыКорректорыПромо и мерч
      Каталог OrtholightКаталог TASKКаталог адгезивовБланк заказа
      Ретейнеры
      Фильтр
      По умолчанию (возрастание)
      По популярности (убывание)
      По популярности (возрастание)
      По алфавиту (убывание)
      По алфавиту (возрастание)
      По цене (убывание)
      По цене (возрастание)
      Фильтр
      Сортировка
      • По популярности (убывание)
      • По популярности (возрастание)
      • По алфавиту (убывание)
      • По алфавиту (возрастание)
      • По цене (убывание)
      • По цене (возрастание)
      Цена
      Цена
      1 150
      5 760
      10 370
      14 980
      19 590
      Упаковка
      Выбрано 0 Показать
      Выбрано 0 Показать
      Пруток_BAВ2шт
      Ретейнер ортодонтический BOND-A-BRAID, пруток
      Много
      Арт.: BAB2/шт
      1 150 ₽/шт
      Варианты цен
      1 150 ₽/шт
      Подробности
      В корзинуВ корзине
      1 Ретейнер_BAB2_1 2 Ретейнер_BAB2_2
      Ретейнер ортодонтический BOND-A-BRAID, в прутках (10 шт/уп)
      Много
      Арт.: BAB2
      10 050 ₽/упак
      Варианты цен
      10 050 ₽/упак
      Подробности
      В корзинуВ корзине
      1-Ретейнер в катушке для сайта 2-pl_1_2_2639 2 Ретейнер_SSOFT_2 1 Ретейнер_SSOFT
      Ретейнер ортодонтический ORTHO FLEXTECH, нержавеющая сталь, в бобине
      Много
      Арт.: SSOFT
      19 590 ₽/шт
      Варианты цен
      19 590 ₽/шт
      Подробности
      В корзинуВ корзине
      40.40.700.01027 40.40.700.01027_2
      Супер мягкая дуга для ретейнера «Dead Soft» 0,027*0,01
      Много
      Арт.: 40.40.700.01027
      2 998 ₽/упак
      Варианты цен
      2 998 ₽/упак
      Подробности
      В корзинуВ корзине
      40.42.111.00195 40.42.111.00215_2 40.42.111.00195_1
      Проволока для ретейнеров SRW .0195
      Много
      Арт.: 40.42.111.00195
      3 554 ₽/шт
      Варианты цен
      3 554 ₽/шт
      Подробности
      В корзинуВ корзине
      40.42.111.00215 40.42.111.00215_1 40.42.111.00215_2
      Проволока для ретейнеров SRW .0215
      Много
      Арт.: 40.42.111.00215
      3 554 ₽/шт
      Варианты цен
      3 554 ₽/шт
      Подробности
      В корзинуВ корзине
      Плоские ретейнеры Bond-A-Braid
      Обзоры на продукцию для ортодонтов
      1 мая 2024
      Плоские ретейнеры Bond-A-Braid
      Спросили напрямую мнение докторов о работе с ретейнерами Bond-a-Braid (от Reliance). Отзывы в этом материале.
      Обзоры на продукцию для ортодонтов
      6 февраля 2025
      Влияние стандартных несъемных ретейнеров на диагностическое качество краниальных изображений магнитно-резонансной томографии

      Ортодонтов часто просят убрать несъемные ретейнеры перед магнитно-резонансной томографией (МРТ). Это исследование проводилось, чтобы оценить влияние 2 часто используемых моделей несъемных ретейнеров на искажение результатов МРТ и необходимость в их снятии.

      Прямые поставки от производителя. Идеальное соотношение цены и качества. Ретейнеры оптом можно забрать с нашего склада после получения уведомления об обработке заявки или заказать доставку в регионы транспортной компанией по вашему выбору.

      Особенности ассортимента

      Ретейнеры – это ортодонтические приспособления для закрепления результата после коррекции зубного ряда. Независимо от применяемой ранее технологии, прохождение этого этапа является обязательным, и только оно позволяет говорить о надежности и долговечности коррекции.

      У нас вы можете заказать ретейнеры любого вида:

      1. Несъемные (бондинговые или постоянные). Они могут быть в виде металлической проволоки из медицинского сплава или стекловолокна. В нашем каталоге можно купить ретейнеры в катушках и уже нарезанные (языковой провод на нижние передние зубы). Пациентам не очень нравится такой вариант из-за затруднения ежедневной гигиены, но они более эффективны ввиду точности и постоянности применения.
      2. Съемные (капы или пластинки). Могут быть цельнополимерными и с бюгельными петлями для фиксации на зубах. Такие ретейнеры отличаются по стоимости, но пользуются популярностью из-за повышенного комфорта. Цельнополимерные изготавливаются из прозрачного пластика и обеспечивают прекрасный эстетический эффект, но слишком хрупкие и недолговечные по сравнению с бюгельными моделями.
      3. Флекс-дуги. Изготавливаются непосредственно под параметры пациента из композитного материала и волокон (металлических спиральных, полиамидных, стекловолокна, углеродных, полиэтиленовых). В нашем магазине самая привлекательная цена на комплектующие для таких ретейнеров.

      Все элементы производятся из сертифицированных материалов и полностью соответствуют заявленным требованиям.

      Заказать доставку ретейнеров всех видов и в любом количестве вы можете прямо на нашем сайте или через электронную почту (для выставления счета-фактуры под безналичную оплату). Мы сформируем ваш заказ в течение 1-2 рабочих дней и организуем поставку в кратчайшие сроки.

      Кроме того, вы можете получить консультацию наших специалистов при необходимости. Мы готовы рассказать все, что вас интересует об особенностях работы сайта, нашей компании и применения материалов.

      Ждем ваших заказов уже сейчас!

      • Акции и скидки
      • Брекеты
        • Pitts21
        • H4
        • HYPE
        • Biomim
        • Clear21
        • Pitts21 PRO
      • Щечные трубки
        • Двойные щечные трубки
        • Конвертируемые щечные трубки
        • Неконвертируемые щечные трубки
        • Паз .018
        • Паз .022
        • Pitts 21
      • Дуги
        • Международная форма
        • Широкая H4 Pitts
        • Прутки для многопетлевой техники
        • Стандартная H4 Pitts
        • Стальные 8-ми жильные
        • Универсальная H4 Pitts
        • Широкая H4 Pitts (+)
      • Эластики
        • Безлатексные лигатуры
        • Безлатексные эластические тяги
        • Латексные эластические тяги
        • Эластические цепочки
        • Эластические тяги (латекс цветные)
      • Аксессуары
        • Кнопки
        • Лигатуры
        • Пружины
        • Типодонты
        • Крючки
        • Стопоры
      • Адгезивы Reliance
      • Гигиена
      • Инструменты
        • TASK
        • Дистальные кусачки
        • Инструмент для работы с ортодонтическими кольцами
        • Кусачки для дуг
        • Лигатурные кусачки
        • Пинцеты
        • Подставка для инструментов
        • Чехлы для щипцов
        • Щипцы Вейнгарда
        • Щипцы для зажимания стопоров
        • Щипцы для нанесения торка на дугу
        • Щипцы для работы с конвертируемыми трубками
        • Щипцы для работы с лигатурами и эластическими элементами
        • Щипцы для работы с элайнерами
        • Щипцы для снятия брекетов
        • Щипцы для формирования Омега петель
        • Щипцы и туррет для многопетлевой техники
        • Щицы для работы с дугами (изгибы/изменение формы)
        • Щицы для снятия адгезива
        • Ключи и щипцы для открывания брекетов
        • Позиционеры
      • Мини Молды
      • Ретейнеры
      • Ретракторы
      • Зеркала и контраcторы
      • Корректоры
      • Промо и мерч
        • Полиграфия
        • Сувениры
        • Текстиль
      Получайте расписание семинаров на почту
      Подписаться

      Новости
      29 декабря 2025
      График работы на новогодние праздники
      15 декабря 2025
      Ортодонтические инструменты Task
      20 октября 2025
      Встреча Клуб ТОП №23 в Москве
      Статьи
      6 февраля 2025
      Влияние стандартных несъемных ретейнеров на диагностическое качество краниальных изображений магнитно-резонансной томографии
      1 мая 2024
      Плоские ретейнеры Bond-A-Braid
      1 мая 2024
      Новинка: зеркала с родиевым покрытием
      Присылаем даты семинаров и скидки. Подпишитесь!
      Каталог
      Акции
      Обучение врачей
      Бренды
      Правовая информация
      Все документы
      Политика обработки персональных данных (конфиденциальности)
      Согласие на обработку персональных данных
      Пользовательское соглашение
      Регистрационное удостоверение на медицинское изделие
      Договор оферты
      Декларация о соответствии
      Условия продажи
      Продукция
      Акции и скидки
      Брекеты
      Щечные трубки
      Дуги
      Эластики
      Аксессуары
      Адгезивы Reliance
      Гигиена
      Инструменты
      Мини Молды
      Ретейнеры
      Ретракторы
      Зеркала и контраcторы
      Корректоры
      Промо и мерч
      Компания
      О компании
      Новости
      История
      Бренды
      Отзывы
      Документы
      Реквизиты
      Вакансии
      Фирменный стиль
      Статьи
      Ortho job
      +7 (963) 633-71-57
      +7 (963) 633-71-57 Офис в Москве, Пн - Пт: 9:30 - 18:00
      +7 (963) 633-71-53 Семинары, Пн - Пт: 9:30 - 18:00
      zakaz-msk@ortholight.ru
      г. Москва, Головинское ш., д.5, корп. 1, помещение 73, оф. 9016 БЦ «Водный»
      • Вконтакте
      • Telegram
      2026 © Инновационная компания в области ортодонтии Ортолайт
      Каталог
      По всему сайту
      По каталогу